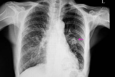
Nódulos pulmonares: quando fazer biópsia e acompanhamento
O achado de um nódulo pulmonar na tomografia ou radiografia assusta, mas…
Leia mais
O achado de um nódulo pulmonar na tomografia ou radiografia assusta, mas…
Leia mais
A tuberculose pleural (TB pleural) é uma das formas mais frequentes de…
Leia maisQuando a Simpatectomia Torácica é Indicada
Leia mais
Este guia completo apresenta tudo o que vocêprecisa saber sobre avaliação pulmonar…
Leia maisConheça os tipos e causas dos nódulos pulmonares e saiba quando este…
Leia maisConheça as principais doenças torácicas e os sintomas que representam um sinal…
Leia maisVeja todas as etapas da cirurgia torácica, do pré ao pós-operatório!
Leia maisSaiba quais sã as etapas de uma consulta com o cirurgião torácica…
Leia maisConheça as etapas e os exames que antecedem a realização de uma…
Leia maisSaiba quais cuidados o paciente deve adotar depois de uma cirurgia torácica!
Leia maisTudo o que você precisa saber sobre cirurgia torácica e suas indicações.
Leia maisSaiba quais são as indicações médicas para uma recuperação bem-sucedida pós-cirurgia torácica!
Leia mais