Bronquiectasias
Bronquiectasias: entenda por que essa dilatação irreversível dos brônquios causa tosse crônica, catarro e infecções de repetição, e quando o tratamento cirúrgico com equipe especializada em cirurgia torácica no Vale do Paraíba é indicado.
Saiba maisCâncer de Esôfago
Câncer de esôfago: entenda os principais sintomas, fatores de risco e opções de tratamento cirúrgico e oncológico. Na Cirurgia Torácica do Vale, em São José dos Campos, você conta com equipe especializada em tumores do esôfago e cuidado integrado para diagnóstico precoce e melhor prognóstico.
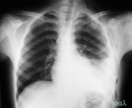
Saiba maisCâncer de Pulmão
O câncer de pulmão é mais frequente em pessoas com mais de 65 anos de idade, especialmente aquelas que fumaram durante a vida. Como a doença não causa sintomas evidentes na fase inicial, é comum que o diagnóstico ocorra quando a doença já se encontra em estágio avançado.
Saiba maisDeformidades Congênitas da Parede Torácica
Deformidades congênitas da parede torácica, como pectus excavatum e pectus carinatum, podem comprometer a respiração e a autoestima. Conheça as opções de correção cirúrgica com equipe de cirurgia torácica especializada no Vale do Paraíba.
Saiba mais
Derrame Pleural
Derrame pleural é o acúmulo excessivo de líquido na cavidade pleural, que é o espaço onde se localizam os pulmões.
Saiba maisDoenças Respiratórias Crônicas
Saiba mais sobre os diferenciais da cirurgia torácica para pacientes com enfisema pulmonar, DPOC, fibrose pulmonar, asma e outras condições
Saiba maisEstenose de Traquéia
A estenose é a obstrução da região interna da traqueia.
Saiba mais
Eventração Diafragmática
A Eventração Diafragmática é uma condição caracterizada pela elevação da cúpula do diafragma
Saiba maisFratura Traumática de Arcos-costais
Saiba tudo sobre essa lesão: Conheça os detalhes acerca da fratura traumática de arcos-costais!
Saiba mais
Hemoptise
Hemoptise é uma quantidade variável de sangue que passa pela glote oriunda das vias aéreas e dos pulmões.
Saiba maisHemotórax
O hemotórax é caracterizado pela presença de sangue na área da cavidade torácica
Saiba maisHérnia Diafragmática
A hérnia diafragmática congênita e traumática são duas condições distintas. No primeiro caso, da hérnia diafragmática congênita, o problema ocorre durante o desenvolvimento fetal, em razão de um defeito no fechamento do diafragma. Já no segundo tipo, a hérnia ocorre em função de uma lesão ou trauma.
Saiba maisHiperidrose
A hiperidrose é uma desordem caracterizada pela transpiração excessiva em alguma parte do corpo.
Saiba mais
Malformações congênitas no pulmão
Conheça os principais tipos de malformações congênitas no pulmão, os problemas respiratórios decorrentes, sintomas e diagnósticos
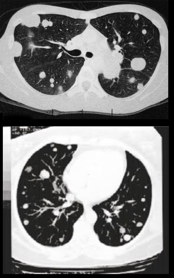
Saiba maisMetástases Pulmonares
A Metástase Pulmonar é um quadro grave e que deve receber tratamento desde o início para garantir a recuperação do paciente
Saiba maisMiastenia Gravis
Uma doença autoimune que prejudica os receptores musculares, atingindo diversas partes do corpo, inclusive os pulmões
Saiba mais
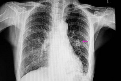
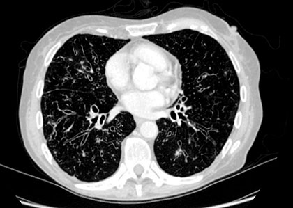
Nódulo Pulmonar Solitário
O Nódulo Pulmonar Solitário é uma lesão discreta. Ele tende a ser encontrado nos exames periódicos, como, por exemplo, em uma tomografia da região do tórax ou, até mesmo, em uma radiografia.
Saiba mais
Pneumotórax Espontâneo
Pneumotórax é o acúmulo de ar na cavidade pleural, isto é, ar fora dos pulmões, entre estes e a parede do tórax.
Saiba mais
Pneumotórax: causas, sintomas e tratamentos
Pneumotórax, um colapso pulmonar. Entenda sua gravidade e suas possíveis causas. Também saiba quais são os sintomas dessa condição e os tratamentos indicados.
Saiba maisQuilotórax
Saiba o que é quilotórax e as opções de tratamento: doença rara acomete uma a cada quinze mil pessoas no Brasil, e causa obstrução ou laceração do ducto torácico
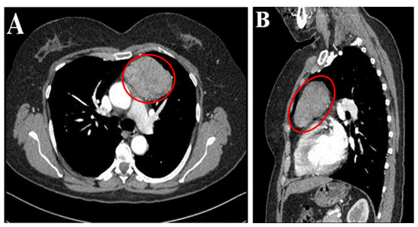
Saiba maisTimoma
Timoma é um tumor raro que se desenvolve no timo e apresenta graus diferentes de…
Saiba maisTrauma torácico
O Trauma Torácico pode ser uma lesão grave e, dependendo da complexidade, pode levar o paciente ao óbito
Saiba maisTumores de Parede Torácica
A parede torácica pode sofrer com diferentes tumores. Quanto antes o paciente tiver o diagnóstico, mais rápido ele pode dar início ao tratamento e maiores serão as chances de cura e recuperação.
Saiba maisTumores pulmonares benignos
É muito comum que as pessoas fiquem assustadas quando ouvem o médico afirmar que encontrou um tumor em seu organismo. Mas fato é que nem sempre essa anomalia representa um risco à saúde do paciente, já que existem vários tipos de tumores pulmonares benignos.
Saiba mais