As malformações do pulmão fazem parte de um espectro de lesões que têm origem ainda no período embrionário, ou seja, até o momento da décima segunda semana de gestação. Mesmo com o avanço da tecnologia, que tornou mais fácil a identificação desses problemas nos estágios iniciais da vida, na maioria dos casos essa condição só é descoberta após muitos anos.
Os indivíduos que nascem com essas malformações pulmonares apresentam, em geral, problemas respiratórios. Em muitos casos, no entanto, essas pessoas vivem assintomáticas durante um longo período e esses sintomas só aparecem muitos anos depois. Quando esse diagnóstico é feito de forma tardia, torna-se mais fácil que os pacientes apresentem algum tipo de complicação no quadro (como, por exemplo, infecções pulmonares).
As malformações atingem cerca de 35 pessoas a cada 100.000 habitantes por ano ou 0,06-2,2% dos pacientes internados em hospitais gerais. Estima-se que 10% dos casos sejam reconhecidos no nascimento e que outros 14% sejam diagnosticados até os 15 anos de idade.
Confira os principais tipos de malformações congênitas:
Sequestro pulmonar

O sequestro pulmonar é caracterizada pela presença de um tecido pulmonar normal e um não funcionante, sem que esteja conectado com a árvore brônquica e suprimento arterial da circulação sistêmica. É possível classificar o sequestro em dois grupos, divididos de acordo com sua localização: extralobar ou intralobar. Há também um terceiro tipo, a malformação broncopulmonar do intestino primitivo, em que o trato gastrointestinal é ligado ao pulmão anormal.
Para que fique mais claro: o sequestro pulmonar extralobar conta com um pulmão acessório que é recoberto por pleura visceral e separada do pulmão funcionante. Já o sequestro pulmonar intralobar é recoberto por tecido pulmonar normal ou por segmento de pleura visceral do lobo pulmonar.
Os indivíduos que têm sequestro acabam indo para ressecção, já que essa malformação é responsável por cerca de 1,8% de todas as ressecções cirúrgicas.

As lesões geralmente são tratadas através da ressecção do sequestro pulmonar (sequestrectomia) ou lobectomia pulmonar, dependendo do tipo, do momento em que o diagnóstico foi feito e das complicações que podem estar acontecendo.
Nos casos de pacientes sem sintomas e com sequestro extralobar, pode-se somente acompanhar, já que não existe até hoje nenhum relato de degeneração maligna nessa condição. Nesses casos, geralmente a cirurgia escolhida é a sequestrectomia.
Malformação Adenomatóide Cística (MAC)
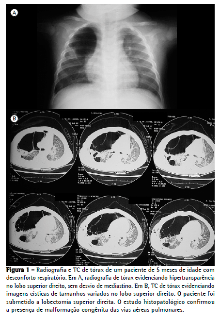
A malformação adenomatóide cística (MAC) de pulmão é responsável por cerca de 30% das malformações pulmonares congênitas, apresentando um risco de insuficiência respiratória no nascimento em uma média de 30% dos casos. A MAC é um tipo de lesão que pode ser diferenciada das outras malformações por contar com aumento da musculatura lisa e do tecido elástico nos cistos, polipoides da mucosa, falta de cartilagem nas massas e a existência de células secretoras de muco.
Há evidências de que essas lesões começam a aparecer entre a 5ª e a 22ª semana de gestação. Os pesquisadores geralmente diferem suas opiniões em relação ao motivo delas aparecerem, já que alguns acreditam que seja devido a um desenvolvimento anômalo na maturação pulmonar e outros acreditam que seja uma representante de uma displasia focal pulmonar, uma vez que é possível conferir o músculo esquelético e carcinomas nessas lesões.
Os sintomas mais comuns nesses pacientes são as infecções de repetição, pneumotórax, hemotórax e hemoptise. Dos pacientes que apresentam a malformação, apenas um pequeno número de pacientes apresenta uma forma mais agressiva em que há lesão expansiva de crescimento rápido, podendo levar a óbito intrauterino. A ultrassonografia é uma boa forma de identificar esse tipo de lesão e deve ser feita caso exista suspeita.

A intervenção cirúrgica associada à hidropisia é a melhor forma de tratamento na fase pré-natal. Nos casos em que há gestações múltiplas, presença de outras anormalidades e fatores maternos ou psicossociais complexos, no entanto, pode não ser efetivo. Mesmo assim, quando o procedimento é feito durante o período fetal com uso de cirurgia aberta é possível ter uma sobrevida em 50% dos casos. Quando o procedimento é realizado durante o parto cesariano, com a presença do cordão umbilical, a sobrevida é ainda mais satisfatória e se aproxima a 90%.
Enfisema lobar congênito
O enfisema lobar congênito, também conhecido como hiperinsuflação pulmonar infantil, é uma malformação pulmonar rara que ocorre apenas uma vez a cada 30 mil nascimentos. A principal característica dessa malformação é a hiperinsuflação de um lobo pulmonar por aprisionamento aéreo, resultando em distensão do lobo e provocando a compressão dos demais.
Essa malformação pode se apresentar de diversas maneiras, sendo possível encontrar casos mais leves, apenas com disfunção ventilatória. Outros, mais graves, podem apresentar insuficiência respiratória aguda e infecções pulmonares de repetição.
Em alguns casos o enfisema lobar congênito é assintomático, mas já é observado que a grande maioria dos indivíduos apresenta sintomas antes dos seis meses de vida – destes, 50% são diagnosticados com a malformação no primeiro mês. O enfisema pode ser diagnosticado no período pré-natal pela ultrassonografia, o que torna possível a diminuição espontânea de volume e até mesmo o desaparecimento das lesões.
Essa malformação é duas vezes mais comum em homens do que em mulheres e acomete com mais frequência o lobo superior esquerdo. Geralmente, o tratamento indicado é através da cirurgia, sendo ela a lobectomia por toracotomia ou videoassistida.
Malformação arteriovenosa
As malformações arteriovenosas (MAVs) geram sintomas como cianose, dispneia, fadiga, baqueteamento digital e policitemia. Grande parte dos pacientes não apresenta esses sinais, já que entre 25-40% dos casos são sintomáticos. O diagnóstico geralmente é feito por volta dos 41 anos, ocorrendo 2 ou 3 casos a cada 100.000 indivíduos. A maior incidência é nos lobos médio e inferior esquerdo.
Para diagnosticar a doença e encontrar a melhor forma de tratá-la, é preciso realizar a angiografia. Complicações relacionadas às MAVS geralmente envolvem a perda da função filtrante pulmonar, já que isso permite que bactérias e êmbolos consigam passar para a circulação sistêmica, podendo gerar, consequentemente, embolias, abcessos cerebrais ou sangramento de vasos.
O tratamento das MAVs pode trazer melhoras nos sintomas de dispneia, prevenir a hemoptise e ainda evitar as complicações neurológicas que podem ser causadas por essa malformação.
Para fazer esse tratamento, é preciso de ressecção pulmonar ou embolização, dependendo de onde a lesão está localizada e da quantidade delas. Nos casos em que é feita a embolização, os resultados iniciais são excelentes e geram resolução em torno de 80-100% dos casos, mas é possível que o problema tenha reincidência.
Saiba mais
Se você deseja saber mais sobre malformações congênitas no pulmão, continue acompanhando o trabalho da Cirurgia Torácica do Vale, grupo de médicos especialistas que atuam nos principais hospitais da região.
