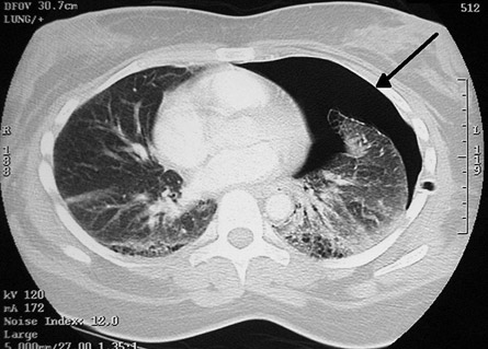
Definição e Causa
O Pneumotórax é causado por uma lesão na parede do pulmão (também chamada de pleura visceral) em que o ar sai do pulmão (como em uma bexiga furada), porém não retorna para dentro deste, acumulando-se na cavidade. Este acúmulo pode gerar um aumento importante da pressão na cavidade, atrapalhando ou impedindo o pulmão de encher-se de ar, impossibilitando a respiração por aquele pulmão. Também, o aumento da pressão pode ser tão importante a gerar um desvio de todo o mediastino (coração, grandes vasos) para o outro lado, atrapalhando toda função circulatória, podendo causar grave hipotensão e até morte. Este caso é chamado de pneumotórax hipertensivo.
Classificação

O pneumotórax é classificado quanto a sua causa: espontâneo ou não. Causas de pneumotórax não espontâneo são traumas torácicos, como acidentes veiculares, tiros ou facadas; iatrogênicos, em que um tratamento médico o causa, como na passagem de um catéter em veias profundas ou barotraumas, causados por aumentos das pressões intrapulmonares, por exemplo, em pacientes em ventilação mecânica
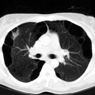
O pneumotórax espontâneo é dividido em primário ou secundário. Os primários são causados por rompimentos de blebs, que são áreas de fraqueza da parede pulmonar onde acredita-se que sejam causadas pelo crescimento rápido do órgão. Estas se localizam geralmente no ápice dos pulmões e são mais frequentes em pessoas do biotipo longilíneo (magras e altas). Geralmente ocorre em pacientes jovens e tem frequência pouco maior em tabagistas.
Os secundários são gerados por rompimento de bolhas pulmonares, também áreas de fraqueza das paredes, causadas por doenças pulmonares subjacentes. A mais frequente, responsável por mais de 90% dos casos é o DPOC (doença pulmonar obstrutiva crônica) causada pelo tabagismo. Outras causas são esclerodermia, tuberculose, fibrose cística, entre outras.


Quais os Riscos do Pneumatórax
Conforme já mencionado o maior risco do pneumotórax não diagnosticado e tratado é de evoluir com insuficiência respiratória, principalmente nos casos de pessoas com doenças pulmonares prévias, como o DPOC, e por tal, sem grande reserva, ou da evolução com falência circulatória e choque, nos casos hipertensivos.
Tratamento na fase aguda
No quadro agudo, isto é, na chegada do paciente ao pronto socorro, o tratamento imediato é a drenagem do tórax. Coloca-se um dreno com o intuito de retirar aquele ar da cavidade e permitir o pulmão a funcionar normalmente. O pulmão expandido, isto é, aberto, sem ar na cavidade pleural, vai ficar em contato com a parede do tórax (pleura parietal) assim facilitando a cicatrização da lesão que gerou o pneumotórax, por isso, em boa parte dos casos é suficiente para resolver o quadro agudo.
Esta drenagem pode ser realizada com dreno de tórax convencional com selo d água ou com válvula de Heimlich, mais simples e que gera maior conforto, porém nem sempre disponível nas unidades de saúde.
Casos que não se resolvam com drenagem, isto é, em que a pessoa mantenha escape de ar por mais de 5-7 dias, são candidatos ao tratamento cirúrgico, que tem como vantagem a grande resolubilidade e o fato de já prover um tratamento definitivo da causa do problema (blebs ou bolhas).
Em casos não resolvidos com drenagem, que, porém não sejam candidatos à cirurgia, por exemplo, por estarem gravemente doentes, uma opção é a pleurodese, que consiste na injeção de medicação dentro da cavidade, pelo próprio dreno de tórax para gerar uma adesão entre a pleura parietal e a visceral, isto é, para colar o pulmão na parede do tórax, assim não deixando cavidade para o ar se acumular. Sua desvantagem em relação à cirurgia é uma menor taxa de sucesso.
Casos de pneumotórax pequenos podem ser observados, sem necessitarem de drenagem, após confirmação radiológica de não estarem aumentando. O ar é reabsorvido lentamente pelas pleuras, resolvendo o quadro em alguns dias.
Tratamento definitivo
- Dois ou mais episódios
- Pneumotórax bilateral
- Não resolução do quadro agudo com drenagem torácica
- Após o primeiro episódio em profissionais sujeitos às variações bruscas de pressão atmosférica (mergulhadores, pilotos), fato que comprovou maior risco no rompimento de blebs.

