Para quem está em busca de informações sobre doenças pulmonares, derrame pleural é um tópico que merece atenção.
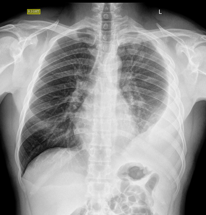
A doença se caracteriza pela presença de água na pleura, uma membrana transparente e bem fina, formada por duas camadas, e que reveste o interior da parede torácica e os pulmões.
O acúmulo de líquido ocorre no espaço entre a pleura visceral e a pleura parietal, e pode causar uma série de complicações.
É importante que esta condição não seja confundida com o que chamamos de "água no pulmão”, já que, neste caso, o acúmulo de líquido acontece dentro do pulmão propriamente, e não entre as pleuras.
Derrame pleural é grave?
A gravidade do derrame pleural vai depender do tipo de classificação que recebe e da doença que o causou. O derrame pleural pode ser diferenciado pelo tipo de substância e pela composição química.
Quando o diagnóstico é do tipo transudato, mais líquido e claro, é indicativo de que não há presença de uma lesão no espaço pleural ou de células inflamatórias. O tratamento deste tipo de caso é mais simples.
Já no caso de a composição ser do tipo exsudato, rica em proteínas, o quadro é um pouco mais complicado. Isto porque, nesta situação, a substância é mais opaca e viscosa, indicando a presença de células em decomposição e aumento da permeabilidade dos vasos.
Existem alguns tipos diferentes de líquidos que podem ser encontrados em um derrame pleural, e cada um indica problemas diferentes. A presença de líquido linfático normalmente indica a presença da obstrução ou lesão de um vaso linfático do pulmão.
Encontrar pus indica que o paciente provavelmente tem uma infecção na região. Já a presença de sangue geralmente é resultado de uma lesão na área do tórax.
Quem já teve derrame pleural pode ter de novo?
O derrame pleural não é bem uma doença, mas uma consequência de uma enfermidade. Então, é possível que uma pessoa tenha o quadro mais de uma vez.
É importante destacar que apenas drenar o líquido acumulado, procedimento paliativo, não é suficiente para impedir que o problema aconteça de novo. É preciso que a questão causadora do derrame pleural seja devidamente tratada.
É perigoso água na pleura?
A água na pleura em si, não é perigosa no sentido de levar alguém a óbito. Inclusive, é muito incomum que o derrame pleural seja a causa da morte de uma pessoa. O risco, neste caso, está mais relacionado à enfermidade que resultou no acúmulo de líquido.
Como é feita a cirurgia de derrame pleural?
A cirurgia de derrame pleural é feita por meio de uma videopleuroscopia, procedimento cirúrgico minimamente invasivo.
Outras formas de se realizar a drenagem do líquido da região entre as pleuras consiste no uso de uma agulha ou na colocação de um dreno na cavidade pleural para escoar a substância.
Também é importante que o tratamento esteja associado às medidas necessárias para remediar a doença que causou o derrame pleural.
Quais são os sintomas de quem tem água no pulmão?
Os sintomas de quem tem água no pulmão variam muito. Nos casos mais comuns, é possível que o paciente apresente falta de ar, acordado e durante o sono; dor para respirar, principalmente ao respirar fundo, e sensação de cansaço ao fazer algum esforço.

Nos quadros em que a situação atinge um nível severo, é possível que ocorra uma elevação entre as costelas do paciente, como se algo estivesse empurrando a pele de dentro para fora.
Outros sintomas, como, por exemplo, dores no corpo e febre, também podem se manifestar, mas normalmente associados à doença que causou o derrame.
Quanto tempo vive uma pessoa com derrame pleural
Como dito anteriormente, é incomum que a presença de água na pleura seja a causa do óbito de alguém, a não ser que estejamos falando de um caso neoplásico. Nesta situação, para saber quanto tempo vive uma pessoa com derrame pleural, é preciso analisar o quadro.
O derrame pleural neoplásico, também conhecido como derrame pleural maligno, está ligado à presença de um tumor comprometendo as pleuras (habitualmente metastático).
Quando é necessário drenar o derrame pleural?
Para saber quando é necessário drenar o derrame pleural é preciso analisar o quadro do paciente. Em grande parte dos casos de derrames pleurais do tipo exsudato, no qual o líquido pode estar espesso, a drenagem é recomendada.
Caso a quantidade do líquido encontrado seja muito pouca, outros tipos de tratamento podem ser sugeridos. Converse sempre com um especialista (pneumologista e/ou cirurgião torácico) antes de seguir com um tratamento.
Como é a dor do derrame pleural
A dor do derrame pleural pode ser moderada ou intensa A pessoa pode sentir dor de forma contínua ou apenas quando ela tossir ou respirar profundamente. Na maioria dos casos, a sensação acontece exatamente sobre o local da inflamação que gerou o derrame.
A dor também pode ser sentida na região superior do abdômen e nos ombros e pescoço, o que é chamado dor referida, quando se sente dor em outras regiões além daquela que apresenta o problema.
Tratamentos para derrame pleural
Basicamente tratar a doença de base, ou seja, aquela que causou o acúmulo desse líquido entra as pleuras.
Abordagens no derrame pleural precisam ser aplicados quando o derrame gera sintomas e/ou quando precisa se colher uma amostra desse líquido para iniciar uma investigação da causa.
A execução pode acontecer por meio da punção e inserção de um fino cateter entre as costelas para aspirar e colher líquido. Normalmente esse procedimento é realizado à beira leito e sob anestesia loco-regional.
Em algumas situações, pode ser preciso que um dreno torácico, que tem formato de tubo, seja colocado, de modo que a drenagem seja realizada de maneira contínua durante a condução de exames e outros procedimentos. Normalmente também realizado à beira leito, com anestesia-local, podendo ou não associar uma sedação leve.
Em situações mais específicas, indica-se a Videopleuroscopia, onde sob anestesia-geral, se passa uma câmera, com outros instrumendos cirúrgicos, para colher o liquido e realizar uma biópsia da pleural parietal, com intuito de tentar descobrir qual a causa do acúmulo de liquido. O paciente no final do procedimento cirúrgico, sai com um dreno torácico.
Saiba mais!
Acompanhe outras publicações do blog da Cirurgia Torácica do Vale e saiba mais sobre as principais doenças que afetam os pulmões e a cavidade torácica, além dos tratamentos mais recomendados.



