O diafragma é um músculo responsável por separar as cavidades abdominal e torácica. Situado junto às vértebras lombares, ele é essencial para o processo de respiração de uma pessoa. Dessa forma, é importante ficar atento aos sintomas que indicam uma das principais doenças relacionadas ao diafragma: a Eventração Diafragmática.
Além da dificuldade de respirar e da sensação de falta de ar, uma dor extenuante que forma um círculo ao redor do tórax é um dos sintomas que indicam problemas nesse músculo.
O que é Eventração Diafragmática?
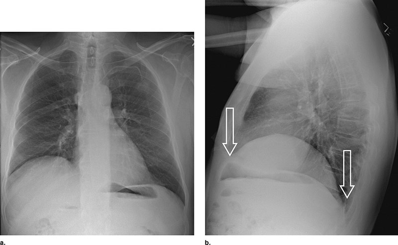
A Eventração Diafragmática (ED) é caracterizada pela elevação total ou parcial da cúpula do diafragma. Ela está relacionada com a perda de mobilidade e faz com que o músculo pare de auxiliar na ventilação pulmonar.
Além disso, a eventração do diafragma pode ser uma má formação congênita ou adquirida. Ela surge quando a musculatura começa a apresentar defeitos.
Nessa anormalidade a sua musculatura adquire um aspecto flácido e facilita que os órgãos do abdômen se movam para a cavidade do tórax.
O diagnóstico dessa doença é feito através de uma ultrassonografia realizada em tempo real ou com Ressonância Nuclear Magnética.
Em alguns casos, é comum que o paciente não apresente nenhum sintoma ou complicações causadas pela eventração diafragmática. Contudo, a doença pode causar transtornos, às quais é importante ficar bem atento.
A eventração diafragmática também é causada por lesões no nervo frênico. Elas correspondem a traumas torácicos fechados, tumores torácicos, infecções ou lesões iatrogênicas.
Eventração Diafragmática em lactente

Muitas pessoas não sabem, mas o lactente corresponde ao bebê que ainda está em fase de amamentação, independentemente da idade que ele tenha. Portanto, a eventração diafragmática em lactente significa a ocorrência da condição em um bebê recém-nascido e que ainda está sendo amamentado.
Vale ressaltar que a eventração diafragmática é considerada um evento raro e definido pela subida anormal do músculo. E, em casos congênitos, a falha na muscularização do diafragma acontece no período embrionário.
Esse defeito é o responsável por afetar a fixação e possibilita o deslocamento do hemidiafragma que foi enfraquecido pelo tórax.
Além disso, na maioria dos casos que envolvem recém-nascidos, é comum que os pacientes sejam assintomáticos. Contudo, já foram relatados sintomas de dispneia, gemência, cianose, sibilância e taquipnéia.
Ela pode-se associar ao parto traumático, como uma fratura da clavícula e a paralisia do plexo braquial.
O que é a cúpula diafragmática?
O diafragma é um músculo com formato de duas cúpulas. Devido à presença do fígado, a cúpula direita está posicionada um pouco mais alta em relação à esquerda. No geral, a cúpula diafragmática é composta por fibras musculares periféricas, que afluem em um tendão central.

O que é e como tratar a subida do diafragma?
A subida do diafragma não é necessariamente uma eventração diafragmática. Na prática, o músculo possui um formato abóbado e possui sua convexidade direcionada para a cavidade torácica.
A forma do músculo é ocasionada por vários mecanismos. Por um lado, o diafragma sofre uma forte pressão que advém da cavidade abdominal.
Em contrapartida, ele também recebe uma força de tração que é causada pela pressão negativa da cavidade torácica, que o estimula para cima igualmente.
Mas, mesmo estando bem fixado a diversas estruturas anatômicas que mantêm o seu sítio, é normal que o diafragma mova-se de maneira anômala para cima. Esse processo é chamado de subida.
A subida do diafragma é causada por diferentes doenças pulmonares que diminuem a pressão intratorácica, além de condições que causam o aumento da pressão da cavidade abdominal. Seguem as principais razões:
- Atelectasia;
- Colapso pulmonar;
- Obesidade;
- Meteorismo;
- Elevação do volume do fígado.
- Pós-operatório de Ressecções pulmonares (ex: Lobectomia pulmonar)
Por sua vez, muitas pessoas se questionam sobre o tratamento dessa condição. A melhor terapia para essa condição é o tratamento da doença de base. No caso dos pós-operatórios, essa entidade é esperada como um status pós-cirúrgico.

Como é o tratamento da Eventração Diafragmática?
O tratamento da eventração diafragmática consiste em cirurgia. O procedimento cirúrgico é recomendado para os casos em que os sintomas são visíveis.
No procedimento, através da via torácica, o cirurgião utiliza a técnica de pregueamento (Plicatura Diafragmática), ou seja, faz a aproximação dos tecidos musculares por meio da sutura da cúpula acometida. Esse procedimento possibilita uma melhor expansão pulmonar na recuperação funcional e fase inspiratória.
No geral, a plicatura é feita através de uma toracotomia, com uma incisão realizada na parede lateral do tórax. O corte possui cerca de 12 cm a 15 cm, sendo seguido por uma técnica que separa as costelas.
Atualmente, por conta da inovação tecnológica, a plicatura diafragmática pode ser feita de maneira pouco invasiva com a cirurgia por vídeo e cirurgia robótica. Esse processo envolve cortes menores e diminui a dor do paciente durante o pós-operatório.
Saiba mais!
A Cirurgia Torácica do Vale é formada por um conjunto de especialistas que atuam no Vale do Paraíba (São Paulo). Os profissionais estão presentes em diversos consultórios e ambulatórios da região e também na retaguarda dos hospitais.
A equipe da Cirurgia Torácica do Vale faz questão de se manter atualizada, uma vez que participa ativamente de congressos, estudos e palestras. Entre em contato conosco pelo site para obter mais informações.
