Hérnia Diafragmática Congênita e Traumática: tudo o que você precisa saber
O diafragma é um músculo de formato achatado que cumpre um papel essencial na respiração. Localizado abaixo dos pulmões, ele separa a cavidade torácica da cavidade abdominal.
Desse modo, mantém os órgãos do tórax (pulmões e coração) apartados dos órgãos do abdômen (estômago, intestino, fígado e baço), mas é atravessado por várias estruturas importantes, como o esôfago, os nervos vagos, a aorta e a veia cava inferior.
Quando o diafragma apresenta uma abertura anormal, essa separação é desfeita. Com isso, os órgãos do abdômen podem se deslocar para a região do tórax, comprimindo os pulmões.
A hérnia diafragmática pode surgir de dois modos, caracterizando os dois tipos da condição. Veja mais informações:
1. Hérnia Diafragmática Congênita (HDC)
A Hérnia Diafragmática Congênita ocorre na gestação em consequência de uma má formação do diafragma durante o desenvolvimento do feto. As causas que originam a abertura anormal no músculo não são totalmente conhecidas, mas sabe-se que existem condições genéticas relacionadas a sua manifestação.
A Hérnia Diafragmática Congênita é predominante no sexo masculino e, na maior parte dos casos, surge do lado esquerdo do diafragma. Com isso, o desenvolvimento adequado dos pulmões do bebê é prejudicado por causa da pressão exercida pelos órgãos deslocados.
Os danos comprometem em maior grau o pulmão do lado diretamente afetado, mas também podem afetar o órgão do lado oposto. As Hérnias Diafragmáticas Congênitas são classificadas de acordo com sua posição:
- Hérnia de Bochdalek: é caracterizada pela presença da abertura na parte lateral posterior do diafragma. Na maior parte dos casos, ela se localiza no lado esquerdo do músculo. Entre 80% e 90% das Hérnias Diafragmáticas Congênitas são desse tipo;
- Hérnia de Morgagni: é caracterizada pela presença da abertura na parte anterior do diafragma. Na maior parte dos casos, ela se localiza no lado direito do músculo. A Hérnia de Morgagni é a mais rara, representando apenas de 1% a 2% das Hérnias Diafragmáticas Congênitas.
Hérnias Diafragmáticas Congênitas na região central do diafragma, a completa ausência do músculo ou a presença de uma membrana fina em seu lugar são condições raras.
2. Hérnia Diafragmática Adquirida (ou Traumática)
A Hérnia Diafragmática Adquirida (ou Traumática) é aquela que ocorre ao longo da vida. Ela surge quando o diafragma é rompido por um traumatismo (como acidentes, quedas e perfurações) ou por consequência de complicações de uma cirurgia ou de uma infecção na região do tórax.
Por ser causada por algum trauma, a Hérnia Diafragmática Adquirida pode se manifestar em qualquer região do músculo.
Sintomas da Hérnia Diafragmática Congênita e Traumática
Os sintomas da Hérnia Diafragmática Congênita e Traumática variam conforme seu tamanho, gravidade e órgãos envolvidos. Eles são comuns tanto para os casos congênitos quanto para os adquiridos, variando somente o momento em que surgem. Os sintomas são:
- Dificuldade para respirar;
- Cianose (pele azulada devido à má oxigenação);
- Taquipneia (respiração acelerada);
- Taquicardia (aumento da frequência cardíaca);
- Ausência ou diminuição de ruídos respiratórios;
- Presença de ruídos intestinais na região do peito;
- Abdômen escavado ou “vazio”.
Na Hérnia Diafragmática Congênita, os sintomas podem surgir já nos primeiros instantes, horas ou dias de vida do recém-nascido. Tanto nas hérnias congênitas quanto nas adquiridas, existem casos assintomáticos, que podem levar anos para serem descobertos.

Prevenção da Hérnia Diafragmática Congênita e Traumática

Não há forma de prevenir a Hérnia Diafragmática Congênita. Já a Hérnia Diafragmática Adquirida (ou Traumática) pode ser prevenida evitando-se traumas nas regiões do tórax e abdômen que levem à ruptura do diafragma.
Usar cinto de segurança, evitar atividades com risco de forte impacto nas áreas torácica e abdominal e tomar cuidado com objetos perfurantes são algumas das medidas de precaução que podem ser tomadas.
Diagnóstico da Hérnia Diafragmática Congênita e Traumática
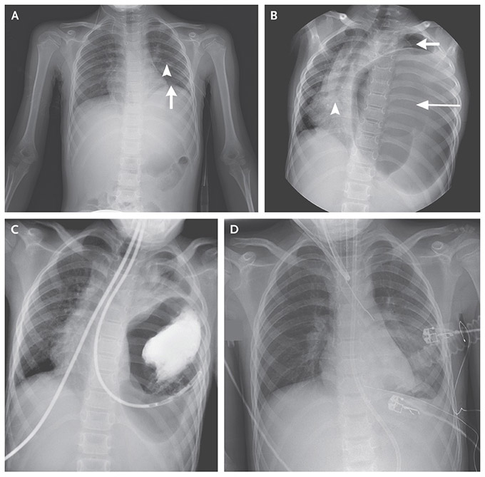
O diagnóstico da Hérnia Diafragmática Congênita e Traumática é feito por meio da realização de exames de imagem, como a radiografia, a tomografia computadorizada ou a ressonância magnética, que podem evidenciar a presença indevida de órgãos da cavidade abdominal dentro do tórax.
A Hérnia Diafragmática Congênita pode ser diagnosticada ainda no primeiro trimestre de gravidez, com a realização de exames de ultrassonografia pré-natal. O tratamento cirúrgico também pode ser realizado ainda durante a gestação.
Quando não é diagnosticada na gravidez, a equipe médica pode suspeitar da presença de uma hérnia diafragmática ainda na sala de parto, caso o recém-nascido apresente sinais como sofrimento respiratório, aumento da frequência respiratória, cianose (pele azulada) e abdômen escavado.
Nessas situações, uma vez que os bebês estejam estabilizados, o diagnóstico se dá por meio da realização de exames de imagem e de sangue, como a gasometria (análise do pH, do equilíbrio ácido-base e dos gases presentes no sangue arterial).
Algumas crianças com Hérnia Diafragmática Congênita podem não apresentar sintomas ao nascerem, mas tardiamente, já com alguns meses de vida. Os principais sinais tardios da condição são: obstrução intestinal, pneumonias de repetição e perfuração de víscera oca, principalmente do estômago.
Nesses casos, devem ser realizados os exames de imagem já mencionados para se chegar ao diagnóstico.
Tratamento da Hérnia Diafragmática Congênita e Traumática
O tratamento da Hérnia Diafragmática Congênita e Traumática consiste na realização de uma cirurgia de correção. O procedimento é realizado para reposicionar os órgãos que foram deslocados da cavidade abdominal para o tórax e para fechar a abertura anormal do diafragma.
A cirurgia de correção é feita com anestesia geral e pode ser realizada por meio de uma incisão tradicional (indicada, geralmente, para casos mais graves) ou com o uso de técnicas minimamente invasivas, como a videocirurgia (laparoscopia / videotoracoscopia) e a cirurgia robótica.
Na videocirurgia, o médico insere uma microcâmera com uma fonte de luz e os instrumentos de corte e remoção em pequenos furos na região a ser operada. Acompanhando a câmera por um vídeo, ele consegue observar a área interna com detalhes e operar o paciente com alta precisão.
Cirurgia robótica para Hérnia Diafragmática Congênita e Traumática
Outra solução que tem se mostrado vantajosa para a correção da Hérnia Diafragmática Congênita e Traumática é a cirurgia robótica. A técnica consiste na inserção, por meio de pequenos furos, de um robô com uma câmera 3D que ajuda o médico a visualizar a região interna e a realizar a cirurgia.
As cirurgias laparoscópica e robótica são procedimentos minimamente invasivos para o tratamento das hérnias diafragmáticas. Ambas são realizadas a partir de pequenas incisões, nas quais se insere uma câmera.
Mas, enquanto na cirurgia laparoscópica há um médico segurando os instrumentos, na cirurgia robótica, esses instrumentos são operados por um robô, que é controlado pelo cirurgião em um console.
A principal vantagem técnica da cirurgia robótica em relação à laparoscópica é que os instrumentos robóticos podem ser manipulados de forma mais dinâmica e precisa do que os instrumentos laparoscópicos.
Isso porque eles são articulados em suas extremidades, da mesma forma que os pulsos de um médico, para que tenham um grau maior de movimento. Já os instrumentos laparoscópicos são retos.
Hérnia Diafragmática Congênita e Traumática tem cura?
A Hérnia Diafragmática Congênita e Traumática tem cura se for realizada a cirurgia necessária para reposicionar os órgãos deslocados e para fechar a abertura do diafragma.
Informações adicionais sobre Hérnia Diafragmática Congênita e Traumática
O pós-operatório da cirurgia de correção pode ser bastante demorado, dependendo da especificidade de cada caso.
Para os casos de Hérnia Diafragmática Congênita, as crianças operadas devem receber auxílio de equipamentos de respiração artificial. Conforme os parâmetros médicos fiquem estabilizados, a necessidade desses equipamentos diminui, até que se possa respirar normalmente.
No Vale do Paraíba, o grupo Cirurgia Torácica do Vale é formado por especialistas com experiência no diagnóstico e tratamento de hérnias diafragmáticas. Continue no blog para saber mais!
