Características dos tumores benignos
Causados por um crescimento anormal de células do próprio corpo, os tumores são lesões que também podem ser chamadas de neoplasias. Esse termo causa receio e temor em muitas pessoas pela associação feita ao câncer. No entanto, eles são divididos entre benignos e malignos, e essas duas variações possuem características bem diferentes.
É muito comum também que as pessoas confundam os tumores com o câncer (veja mais: Câncer de Esôfago e Câncer de Pulmão), já que eles realmente possuem coisas em comum, como o desenvolvimento e as subdivisões desenfreadas de células. Entretanto, nem todo tumor é câncer, mas todo câncer é maligno.
Os tumores benignos são caracterizados pelos limites bem definidos, com crescimento local mais lento, de forma bem mais organizada do que o maligno, que se reparte e se multiplica de forma, muitas vezes, desenfreada.
Além disso, a neoplasia benigna não desenvolve metástase, que é o processo em que o tumor caminha e se espalha pelo organismo, causando a formação de novas colônias de células.
A maioria dos tumores benignos é assintomática e acaba sendo descoberta por acaso, através da realização de algum tipo de exame. Em alguns casos, quando os sintomas são presentes, eles costumam ser leves, e incluem dor, sangramento ou diminuição do fluxo sanguíneo.
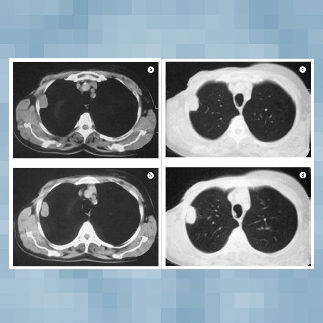
Existem muitos tipos de tumores benignos e eles podem se desenvolver em diversas partes e órgãos do corpo, incluindo o pulmão.
Quais são os principais tumores pulmonares benignos
Apesar de não serem perigosos, é importante estar atento a essas anomalias formadas pelo nosso próprio corpo. Existe mais de um tipo de tumor benigno, mas dois deles são os que mais atingem a região dos pulmões: os hamartomas e os adenomas brônquicos.
Os hamartomas são formados e revestidos pelo próprio tecido pulmonar, além de gordura e cartilagem. Em termos médicos, ele possui características bifásicas, epiteliais e mesenquimatosas. Como regra, esse tipo de tumor benigno possui o crescimento desacelerado, com o padrão de nódulo.
Os nódulos são lesões sólidas, com diâmetro maior que um milímetro e, no caso dos pulmonares, não são elevados como a maioria. Eles são muito relacionados, e até mesmo confundidos, com os cistos, que são cavidades preenchidas por líquido. Via de regra, todo nódulo pulmonar encontrado deve ser analisado para descartar a possibilidade de neoplasia maligna.
Já os adenomas brônquicos são um tipo mais raro de tumor. Geralmente localizados nas vias respiratórias superiores, na traqueia ou nos brônquios, eles são um grupo de neoplasias diversificadas, podendo incluir fibromas, condromas e lipomas, que são outros exemplos de tumores benignos.
Também existem os tumores que surgem do parênquima pulmonar, que é o tecido que constitui o pulmão, formado por alvéolos localizados nas últimas ramificações da chamada árvore brônquica (brônquios, bronquíolos, ductos alveolares, sacos alveolares e alvéolos).
Os mais comuns formados a partir deste tecido são o teratoma, schwannoma, leiomioma, fibroma, hemangioma esclerosante e lipoma.
No geral, eles possuem características parecidas, sendo pequenos, calcificados e solitários. Um médico especializado sempre terá uma visão certeira do que se trata aquela anomalia, por isso se torna essencial quando qualquer tipo de tumor é encontrado.

Causas dos tumores pulmonares benignos
Formado pelo crescimento e subdivisão anormal de células do próprio corpo, os tumores pulmonares são bastante frequentes, mas, felizmente, na maior parte das vezes são benignos.
Normalmente, o ciclo normal das células envolve o seu fim, quando elas morrem. Entretanto, em determinado momento, uma mutação pode atrapalhar esse processo, fazendo com que elas não morram e o corpo continue produzindo, de forma excessiva e desnecessária, novas células, culminando em um acúmulo, que formará os tumores.
As causas motivadoras dessa mutação podem ser diversas, incluindo até questões genéticas. Dieta desequilibrada, estresse, inflamação ou infecção em imunodeprimidos (histoplasmose, aspergilose, criptococose ou coccidioidomicose), tabagismo, pneumonia bacteriana, tuberculose, sarcoidose e granulomatose de Wegener são algumas das muitas possíveis causas.
Várias causas podem ser identificadas, inclusive, de forma preventiva por médicos especializados. Por isso, contar com um acompanhamento prévio pode fazer muita diferença para que se possa mudar hábitos e ficar atento a sinais de possíveis formações anormais em nosso organismo.
Como descobrir tumores pulmonares benignos
Por serem, na maioria das vezes, assintomáticos e silenciosos, são raras as vezes em que é possível percebê-los no cotidiano. Raras vezes eles se manifestam através de caroços, dores, tosse, rouquidão ou algum outro tipo de sintoma, que vai variar muito com o tipo de tumor e sua localização.
Por conta disso, geralmente eles são descobertos “sem querer”, por acaso, na realização de exames feitos por outros motivos. Alguns dos exames que podem encontrar tumores são aqueles laboratoriais feitos de rotina, como exame de sangue, além de endoscópicos ou radiológicos.
Teste de tuberculina, ressonância magnética, imunohistologia e tomografia também são capazes de identificar esse tipo de tumor.
Mesmo que o tumor benigno não possa evoluir para a doença do câncer, sua identificação é muito importante, afinal, um tumor maligno também pode se desenvolver de forma silenciosa.
Como todas as doenças, a descoberta e o início do acompanhamento e cuidado de forma precoce são essenciais para o sucesso do tratamento. Assim, vale ressaltar a importância da realização de exames periódicos, mesmo que não haja um sintoma como motivação.
Um acompanhamento médico preventivo é a melhor forma de evitar complicações em qualquer tipo de patologia ou anomalia imuno e fisiológica. Quando se trata de saúde, o ditado “melhor prevenir do que remediar” é realmente um fato.
Tratamento dos tumores pulmonares benignos
O tratamento dos tumores benignos de pulmão vai variar por inúmeras causas, incluindo tipo, tamanho, se é sintomático ou não, localização no órgão e outras. O médico que fizer o diagnóstico irá ponderar todas essas questões antes de propor qualquer intervenção terapêutica.
Mesmo que esse tumor seja benigno e não tenha potencial para se tornar maligno, ele deve ser olhado e acompanhado com atenção por um profissional. Normalmente, a maioria dos casos é tratada apenas dessa forma, sendo necessária a realização de exames de imagem periódicos, para que se tenha a garantia de que ele não cresce, se desenvolve de maneira indesejada ou mude alguma de suas características. Esse acompanhamento regular deve durar, em média, de dois a três anos.
Essa supervisão médica é essencial em todos os casos, por menor e mais inofensivo que o tumor possa ser. Afinal, caso em algum momento seja preciso realizar uma intervenção, seja com medicamento, tratamento ou até mesmo cirurgia, quanto antes se identificar a necessidade, melhor e mais tranquila será a sua execução.
Dessa forma, é importante salientar a importância de sempre estar atento com a própria saúde e não encarar os médicos como socorristas. Consultas de rotina, realização de check-ups, no mínimo anuais, e acompanhamentos específicos podem ser a salvação no caso de muitas doenças silenciosas.
Conhecer e contar com profissionais realmente capacitados e prontos para oferecer o melhor acolhimento faz toda diferença nesse processo. No Vale do Paraíba, o grupo Cirurgia Torácica do Vale é formado por especialistas de ponta, que atuam nos principais hospitais da região e também atendem em consultórios e ambulatórios.
